虫歯治療
「冷たいものを口にすると歯がしみる」「歯がズキズキ痛む」などの症状がある方は、虫歯が原因かもしれません。
知覚過敏症の可能性もありますが、いずれにしても早期発見と早期治療が重要です。
そもそも虫歯になる原因は、、毎日の食生活や生活習慣、虫歯の原因菌の感染など様々ですが、中でも大きな要因としてあげられるのがプラーク(歯垢)です。また、虫歯の大きさにより処置内容が異なります。
C0:ごく初期の虫歯
歯の表面のエナメル質が溶けはじめた状態です。白く濁って見えますが、痛みなどの症状はほとんどありません。
<治療法>
歯面の汚れをキレイに落とし、必要に応じて歯みがき指導などを行います。フッ素塗布で再石灰化を促すことで治癒が期待できます。
C1:エナメル質の虫歯
エナメル質がさらに溶かされ、黒ずんで見える状態です。冷たいものを口にした時など、しみる場合もあります。
<治療法>
虫歯の部分を除去し、レジン(歯科用プラスチック)を詰めて補います。
C2:象牙質の虫歯
エナメル質の内側にある象牙質にまで虫歯の汚染が進んだ状態です。しみたり、痛むなどの症状が現れます。
<治療法>
虫歯の部分を除去し、インレー(詰め物)で補います。
C3:神経に達した虫歯
歯の中の神経にまで虫歯の汚染が進行した状態です。何もしなくてもズキズキと痛みがあります。
<治療法>
汚染された神経を除去し、洗浄、消毒してから薬剤を詰める根管治療を行い、被せ物を装着します。
C4:歯根に達した虫歯
歯の大部分が溶けてしまった状態です。歯の神経が死んでしまうことで、痛みは一旦はなくなりますが、歯根の先に膿が溜まると再び激しく痛みを生じます。
<治療法>
この段階まで重症化すると、ほとんどの場合において抜歯が選択されます。抜歯後は入れ歯またはブリッジ、インプラント治療を行うことで失った歯の機能回復を図ります。
知覚過敏症の可能性もありますが、いずれにしても早期発見と早期治療が重要です。
そもそも虫歯になる原因は、、毎日の食生活や生活習慣、虫歯の原因菌の感染など様々ですが、中でも大きな要因としてあげられるのがプラーク(歯垢)です。また、虫歯の大きさにより処置内容が異なります。
C0:ごく初期の虫歯
歯の表面のエナメル質が溶けはじめた状態です。白く濁って見えますが、痛みなどの症状はほとんどありません。
<治療法>
歯面の汚れをキレイに落とし、必要に応じて歯みがき指導などを行います。フッ素塗布で再石灰化を促すことで治癒が期待できます。
C1:エナメル質の虫歯
エナメル質がさらに溶かされ、黒ずんで見える状態です。冷たいものを口にした時など、しみる場合もあります。
<治療法>
虫歯の部分を除去し、レジン(歯科用プラスチック)を詰めて補います。
C2:象牙質の虫歯
エナメル質の内側にある象牙質にまで虫歯の汚染が進んだ状態です。しみたり、痛むなどの症状が現れます。
<治療法>
虫歯の部分を除去し、インレー(詰め物)で補います。
C3:神経に達した虫歯
歯の中の神経にまで虫歯の汚染が進行した状態です。何もしなくてもズキズキと痛みがあります。
<治療法>
汚染された神経を除去し、洗浄、消毒してから薬剤を詰める根管治療を行い、被せ物を装着します。
C4:歯根に達した虫歯
歯の大部分が溶けてしまった状態です。歯の神経が死んでしまうことで、痛みは一旦はなくなりますが、歯根の先に膿が溜まると再び激しく痛みを生じます。
<治療法>
この段階まで重症化すると、ほとんどの場合において抜歯が選択されます。抜歯後は入れ歯またはブリッジ、インプラント治療を行うことで失った歯の機能回復を図ります。
歯周治療
近年では、日本の成人の約80%が歯周病(歯槽膿漏)の疑いがあるという研究データもあり、歯周病は国民病とも言われる身近な病気です。
しかしながら、歯周病の危険性の認知と予防の意識がまだそれほど高まっていないのが現状です。
歯周病は高血圧や糖尿病と同等に痛みをともなわずに静かに進む病気で、重症化するまでほとんど自覚症状はでません。そのため、検査で歯周病の診断をされても実感がわかずに放置してしまい、重症化につながるケースも少なくありません。
歯の表面や歯同士の隙間にある歯垢は、細菌の塊です。歯周病の治療では、歯垢を取り除くプラークコントロールが重要になります。
ご来院いただいた患者さまには、ブラッシング方法のチェックとアドバイスをいたします。加えて、専用の器具を使って、歯の表面の歯垢や、歯周ポケットの中にある歯石を取るなど、お口のクリーニングを実施します。それぞれの病気のステージに合わせてクリーニングから歯周外科処置まで当院では対応しております。
しかしながら、歯周病の危険性の認知と予防の意識がまだそれほど高まっていないのが現状です。
歯周病は高血圧や糖尿病と同等に痛みをともなわずに静かに進む病気で、重症化するまでほとんど自覚症状はでません。そのため、検査で歯周病の診断をされても実感がわかずに放置してしまい、重症化につながるケースも少なくありません。
歯の表面や歯同士の隙間にある歯垢は、細菌の塊です。歯周病の治療では、歯垢を取り除くプラークコントロールが重要になります。
ご来院いただいた患者さまには、ブラッシング方法のチェックとアドバイスをいたします。加えて、専用の器具を使って、歯の表面の歯垢や、歯周ポケットの中にある歯石を取るなど、お口のクリーニングを実施します。それぞれの病気のステージに合わせてクリーニングから歯周外科処置まで当院では対応しております。
予防歯科
お口の健康を保つことは、充実した食生活や全身の健康へとつながります。また、将来的に虫歯や歯周病になった場合の治療費を抑えることができるのもメリットです。
当院では「予防歯科」にも力を入れ、治療をして終わりではなく、お客様の一生のお口の健康をサポートさせていただいております。
予防やメンテナンスのために定期的に歯科医院へ通うことは、海外では広く一般的であり、自身の大切な歯の健康を末永く維持するために重要な習慣として認知されているのです。
歯周病は口の中の健康だけでなく、さまざまな全身疾患と関連があることが報告されています。
大切な歯を残すために、そして全身の健康のためにも、歯周病の早期治療と日頃の適切な予防ケアが大切です。
当院では「予防歯科」にも力を入れ、治療をして終わりではなく、お客様の一生のお口の健康をサポートさせていただいております。
予防やメンテナンスのために定期的に歯科医院へ通うことは、海外では広く一般的であり、自身の大切な歯の健康を末永く維持するために重要な習慣として認知されているのです。
歯周病は口の中の健康だけでなく、さまざまな全身疾患と関連があることが報告されています。
大切な歯を残すために、そして全身の健康のためにも、歯周病の早期治療と日頃の適切な予防ケアが大切です。
根管治療
治療の際に根管内に菌が残ってしまうと、歯を支える骨へと感染が広がってしまい、歯の根の先が膿んだり腫れや痛みを生じる場合があります。
そのため、根管治療では根管内の感染した部分をキレイに取り除き、根管内を無菌的にすることがとても重要です。
根管は非常に複雑な形をしており、形態や本数も人によって異なるため、根管治療は高い精度が求められる治療と言えます。当院では、ドクターの高い技術と先進の医療機器を駆使することで、より精度の高い根管治療をご提供しております。
マイクロスコープ(歯科用顕微鏡)の使用
マイクロスコープは、心臓外科や脳神経外科など医科で使用する事が多い機器ですが、歯科に応用することでより精度の高い治療を行うことが可能です。この機器を使いこなすには熟練した技術が必要であり、また機器自体が高額であることから、日本での導入率は数%とも言われています。
当院ではマイクロスコープを駆使することで、肉眼では見えないレベルにまでこだわった緻密な治療へとつなげています。
ラバーダム防湿
ラバーダム防湿とは、根管治療を行うときに歯にゴムのシートを掛け、術野に唾液等が入り込むのを防ぐ方法です。
日本の歯科医院における根管治療の成功率が低い原因の一つとして、このラバーダム防湿を行っていない医院が多いことが挙げられるほど、大切な役割を果たす医療器具です。
当院ではラバーダムを用いて根管治療を行うことで、より質の高い根管治療を提供できます。
ニッケルチタンファイル
「ファイル」は、根管内の汚染された部分の除去に用いる治療器具です。
ニッケルチタンファイルは、従来のステンレス製のものと比べて非常にしなやかな特性を持ち、根管内を傷つけてしまうリスクを最小限に抑えながら、複雑な形状の根管から緻密に組織除去を行うことが可能となりました。
そのため、根管治療では根管内の感染した部分をキレイに取り除き、根管内を無菌的にすることがとても重要です。
根管は非常に複雑な形をしており、形態や本数も人によって異なるため、根管治療は高い精度が求められる治療と言えます。当院では、ドクターの高い技術と先進の医療機器を駆使することで、より精度の高い根管治療をご提供しております。
マイクロスコープ(歯科用顕微鏡)の使用
マイクロスコープは、心臓外科や脳神経外科など医科で使用する事が多い機器ですが、歯科に応用することでより精度の高い治療を行うことが可能です。この機器を使いこなすには熟練した技術が必要であり、また機器自体が高額であることから、日本での導入率は数%とも言われています。
当院ではマイクロスコープを駆使することで、肉眼では見えないレベルにまでこだわった緻密な治療へとつなげています。
ラバーダム防湿
ラバーダム防湿とは、根管治療を行うときに歯にゴムのシートを掛け、術野に唾液等が入り込むのを防ぐ方法です。
日本の歯科医院における根管治療の成功率が低い原因の一つとして、このラバーダム防湿を行っていない医院が多いことが挙げられるほど、大切な役割を果たす医療器具です。
当院ではラバーダムを用いて根管治療を行うことで、より質の高い根管治療を提供できます。
ニッケルチタンファイル
「ファイル」は、根管内の汚染された部分の除去に用いる治療器具です。
ニッケルチタンファイルは、従来のステンレス製のものと比べて非常にしなやかな特性を持ち、根管内を傷つけてしまうリスクを最小限に抑えながら、複雑な形状の根管から緻密に組織除去を行うことが可能となりました。
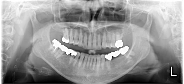
歯冠修復
被せ物や詰め物には、素材や保険内・外など様々な種類があります。当院では、お悩みや症状、ご予算・ご希望に合わせて最適な治療プランをご提案し、お客様にお選びいただいております。まずはお気軽にご相談ください。
クラウン(かぶせ物)の種類
・オールセラミッククラウン
外側に従来の歯科用セラミックを使用し、内側にジルコニアを使用した被せ物です。審美性と機能性を兼ね備えた仕上がりにになります。ジルコニアは高い強度を持ち、耐久性・耐食性・耐熱性にも優れた素材です。生体親和性も高いことから、金属材料にとって代わるものとして注目されています。
【料金】オールセラミッククラウン 160,000円(税別)
・フルジルコニアクラウン
フルジルコニアクラウンは、奥歯で使える白い被せ物です。ダイヤモンドに近いとされるジルコニアの強度を活かし、固いものを噛んでも被せ物が壊れにくい優れた耐久性が特徴です。
【料金】オールジルコニアクラウン 110,000円(税別)
・メタルボンドクラウン
メタルボンドクラウンは、金属のフレームの上にセラミックを盛った被せ物です。耐久性と適合性に優れていますが、長年使用すると歯茎と被せ物の境目に金属が見える場合があります。
【料金】メタルボンドクラウン 120,000円(税別)
・ゴールドクラウン
金合金や白金加金など安定した貴金属を歯科修復材とした被せ物です。金属色にはなりますが、しなやかなで歯との相性が良く、歯科修復材として高く評価されています。奥歯(臼歯)など目立たないところにお勧めしています。
【料金】ゴールドクラウン 120,000円(税別)
インレー(詰め物)の場合は、材料が少なく済むため上記の値段より少なくなります。
クラウン(かぶせ物)の種類
・オールセラミッククラウン
外側に従来の歯科用セラミックを使用し、内側にジルコニアを使用した被せ物です。審美性と機能性を兼ね備えた仕上がりにになります。ジルコニアは高い強度を持ち、耐久性・耐食性・耐熱性にも優れた素材です。生体親和性も高いことから、金属材料にとって代わるものとして注目されています。
【料金】オールセラミッククラウン 160,000円(税別)
・フルジルコニアクラウン
フルジルコニアクラウンは、奥歯で使える白い被せ物です。ダイヤモンドに近いとされるジルコニアの強度を活かし、固いものを噛んでも被せ物が壊れにくい優れた耐久性が特徴です。
【料金】オールジルコニアクラウン 110,000円(税別)
・メタルボンドクラウン
メタルボンドクラウンは、金属のフレームの上にセラミックを盛った被せ物です。耐久性と適合性に優れていますが、長年使用すると歯茎と被せ物の境目に金属が見える場合があります。
【料金】メタルボンドクラウン 120,000円(税別)
・ゴールドクラウン
金合金や白金加金など安定した貴金属を歯科修復材とした被せ物です。金属色にはなりますが、しなやかなで歯との相性が良く、歯科修復材として高く評価されています。奥歯(臼歯)など目立たないところにお勧めしています。
【料金】ゴールドクラウン 120,000円(税別)
インレー(詰め物)の場合は、材料が少なく済むため上記の値段より少なくなります。
欠損補綴
虫歯や歯周病、あるいは外傷で歯を失ったあと、見た目が悪いのはもちろん、機能としてかめなくなります。そこで周りの残ったはの状況、残った顎の骨、形、唇、舌の運動機能を考慮して設計し、患者さんに提案し、機能回復をしていきます。
外科処置
親知らず抜歯
大概のものは抜歯いたします。リスクの高いものは連携している確かな先生をご紹介します。
インプラント治療
インプラント治療は、失った歯の機能回復を図る方法の一つです。顎の骨にチタン製の人工の歯根を埋入し、その上に人工歯を装着します。インプラントは「第二の永久歯」とも言われており、治療後は定期的に適切なメンテナンスを行うことで、歯本来の機能をながく維持することが可能です。
歯の移植
欠損処置のオプションとして歯の移植も行って多くの成功症例を持っています。ご相談ください。
大概のものは抜歯いたします。リスクの高いものは連携している確かな先生をご紹介します。
インプラント治療
インプラント治療は、失った歯の機能回復を図る方法の一つです。顎の骨にチタン製の人工の歯根を埋入し、その上に人工歯を装着します。インプラントは「第二の永久歯」とも言われており、治療後は定期的に適切なメンテナンスを行うことで、歯本来の機能をながく維持することが可能です。
歯の移植
欠損処置のオプションとして歯の移植も行って多くの成功症例を持っています。ご相談ください。
有病者歯科・高齢者歯科
糖尿病や高血圧、狭心症や心筋梗塞などいわゆる全身疾患と呼ばれる有病者の方は増加しています。このような方は歯科治療時に配慮すべき点も多く、十分な治療が受けられていない方も見受けられます。近くに東京共済病院がありますので有病者の患者様は多くいらっしゃいますので、当院では有病者歯科に配慮した歯科医療を行っています。
全身状態評価
治療を進める前に、担当医の先生へ患者さまの情報を問い合わせせることがあります。医科歯科連携を図ることで、患者さまの全身状態や疾患を把握した上で、治療計画を立案することができます。
治療中のモニタリング
治療中は患者さまの全身状態を把握するために必要に応じて血圧測定・血中酸素濃度測定などを行います。患者さまにもしものことがあったら迅速な対応ができるよう、いつでも対応できる準備をしています。
全身状態評価
治療を進める前に、担当医の先生へ患者さまの情報を問い合わせせることがあります。医科歯科連携を図ることで、患者さまの全身状態や疾患を把握した上で、治療計画を立案することができます。
治療中のモニタリング
治療中は患者さまの全身状態を把握するために必要に応じて血圧測定・血中酸素濃度測定などを行います。患者さまにもしものことがあったら迅速な対応ができるよう、いつでも対応できる準備をしています。
小児歯科(0歳から)
子どもの虫歯や歯並びは、成長期の体にも大きな影響を及ぼすことから、子どもの健やかな成長のためにも「歯の健康」を守ることはとても大切です。
1歳半〜3歳までの間は「感染の窓」とも呼ばれており、この時期にお口の中に虫歯菌が少なければ、将来的な虫歯になるリスクを少なくできると考えられています。
トラブルのない時期から、なるべく早い段階で一度ご来院いただくことをおすすめします。
歯並びも小さいころからの悪い癖で顎の成長、歯並びに大きく影響します。
気になる方はご相談ください。
1歳半〜3歳までの間は「感染の窓」とも呼ばれており、この時期にお口の中に虫歯菌が少なければ、将来的な虫歯になるリスクを少なくできると考えられています。
トラブルのない時期から、なるべく早い段階で一度ご来院いただくことをおすすめします。
歯並びも小さいころからの悪い癖で顎の成長、歯並びに大きく影響します。
気になる方はご相談ください。
訪問歯科
訪問歯科診療の対象となるのは、「通院困難な方」と決められています。
要介護の高齢者では、歯を診てもらいたくても体が不自由で通院できない人がたくさんいます。しかし、体に障害があったり、病気を持っている人ほど口腔ケアを行いにくく、治療が必要な状態になりやすいのです。
訪問歯科診療では、通院困難な方の訴えをくみとって医院とほぼ同じ治療が可能な設備を持ってご自宅や施設等にお伺いいたしますので、虫歯の治療、入れ歯の作成・修理、お口のケアなどの歯医者に通院するのとほぼ同じ内容の治療を受けることができます。また、誤嚥性肺炎の予防や食べる楽しみの回復など、口腔機能のリハビリテーションも行います。治療の方法は利用者の体力に合わせて無理のないように進めていきます。費用は医療保険や介護保険が適用されます。
要介護の高齢者では、歯を診てもらいたくても体が不自由で通院できない人がたくさんいます。しかし、体に障害があったり、病気を持っている人ほど口腔ケアを行いにくく、治療が必要な状態になりやすいのです。
訪問歯科診療では、通院困難な方の訴えをくみとって医院とほぼ同じ治療が可能な設備を持ってご自宅や施設等にお伺いいたしますので、虫歯の治療、入れ歯の作成・修理、お口のケアなどの歯医者に通院するのとほぼ同じ内容の治療を受けることができます。また、誤嚥性肺炎の予防や食べる楽しみの回復など、口腔機能のリハビリテーションも行います。治療の方法は利用者の体力に合わせて無理のないように進めていきます。費用は医療保険や介護保険が適用されます。

